Израильские врачи спасли 2-летнюю девочку, проглотившую 7 магнитов
Все процедура заняла около часа с момента поступления в приемное отделение
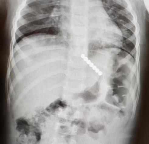
В течение часа с момента поступления в приемное отделение медики успешно извлекли инородное тело из желудка маленькой пациентки.
Как рассказала доктор Орли Ишах-Адив, глава отделения гастроэнтерологии медицинского центра "Гилель-Яфе", процедуру надо было провести максимально быстро и под общим наркозом. "Мы нередко сталкиваемся с подобными случаями. Дети глотают разные предметы во время игры. Но в случае
2-летнего ребенка магниты могут нанести очень серьезный вред внутренним органам".
После первичного осмотра малышки были немедленно вызваны специалисты по эндоскопии и врач-анестезиолог. Было решено оперативно извлечь магниты, пока они находятся в желудке.
"Каждая минута в такой ситуации имеет критическое значение. Магниты перемещаются и могут притягиваться друг к другу через стенки кишечника. Это может привести к тяжелому повреждению органов и внутреннему кровотечению", - пояснила д-р Ишах-Адив.
После операции двухлетняя пациентка оставалась под наблюдением медиков еще сутки, а потом была выписана.


